Сколиоз 2 степени – это деформация позвоночного столба в различных плоскостях. Существуют различные виды данного заболевания. Каждый имеет свою особенную симптоматику и проявления, поэтому принято различать сколиоз по принятым упорядоченным классификациям.
Классификация по рентгенологическим признакам
Степени у детей и взрослых одинаковы:
- Сколиоз 1 степени. Угол искривления <10°. Во многих странах такое незначительное отклонение считается в пределах нормы. Но у нас пациентов с данной степенью врачи берут под контроль, поскольку неизвестно каково будет дальнейшее развитие. Если обнаружены явления прогрессирования, то применяются лечебные меры;
- Сколиоз 2 степени. Угол искривления 11°-25°. Медицинское вмешательство считается обязательным. Из-за нестабильности состояния позвоночника корректировка может значительно улучшить состояния. Если меры не предприняты, то сколиоз 2 степени у подростка будет развиваться с быстрым темпом.
- Сколиоз 3 степени. Угол искривления 26°-50°;
- Сколиоз 4 степени. Угол искривления >50. Наиболее тяжелое проявление терминальная стадия развития. При этой степени возможна инвалидность.
Часто больные задаются вопросом берут ли в армию со сколиозом? При постановке диагноза сколиоз 2 степени и выше армия не страшна.
Для сколиоза 2 степени характерны подростковая и ювенильная (4-6 лет) форма. В юном возрасте позвоночник, который еще только формируется, наиболее подвержен к искривлениям в боковой проекции.
Также дифференцируют сколиоз второй степени по его локализации:
- Торакальный. Деформация в области грудного отдела;
- Люмбальный. Деформация в области поясничного отдела;
- Тораколюмбальный. Деформация в области перехода грудного отдела в поясничный.
- Комбинированный. Деформация позвоночника двойная.
По форме искривления:
- C-образный. Одна дуга искривления;
- S-образный. Двойной изгиб дуги искривления;
- Z-образный. Три дуги искривления. Деформация позвоночника во всех отделах, искривлен в том числе и третий отдел.
Сколиоз 2 степени характеризуется заметным искривлением позвоночника, которое может проявляться в виде асимметрии плеч и бедер, а также в изменении линии талии. Врачи отмечают, что пациенты часто жалуются на дискомфорт в спине, усталость и даже боли, особенно после физической нагрузки. Лечение включает физическую терапию, специальные упражнения для укрепления мышечного корсета и ношение корсета в некоторых случаях. Важно, чтобы лечение начиналось на ранних стадиях, так как это может предотвратить дальнейшее прогрессирование искривления. Профилактика заключается в регулярной физической активности, правильной осанке и избегании длительного сидения в одном положении. Врачи подчеркивают, что ранняя диагностика и комплексный подход к лечению играют ключевую роль в успешной коррекции сколиоза.

Причины развития сколиоза
Установленные точные провоцирующие факторы:
- Врожденные патологии. Деформированные позвонки, недостаточно сильный связочный аппарат;
- Дефицит витамина D. Запущенная стадия развития рахита;
- Повреждения позвоночного столба;
- Однообразный и бедный на кальций и фосфор рацион питания;
- Систематическое нарушения осанки с давлением и без. Длительное и систематическое ношение тяжелого груза (сумка, портфель) на/в одной руке. Даже разрешенный вес может принести неприятные последствия. Неправильное положения за столом;
- Заболевания инфекционного характера нервной системы. Полиомиелит, спастический паралич и т.д.;
- Патологии обмена веществ костной ткани.
Клиническая картина при сколиозе 2 степени
Заболевание протекает зачастую бессимптомно. При чем, если человек одет, то патологию можно и не выявить. Проявления болезни в виде боли, которая локализуется в месте патологии, появляются только лишь продолжительных физических занятий, существенной усталости. Для того, чтобы выявить нарушения человеку нужно ровно стать на обе ноги и опустить по бокам руки. Таким образом можно заметить несимметричности на спине. Следует обратить внимание на:
- Плечи расположены на разной высоте. Так проявляется грудной сколиоз 2 степени;
- Линии, расположенные между лопаточными углами, будут не совпадать. Угол одной из лопаток будет торчащим;
- Если человек наклонится вперед, то можно заметить, что позвоночник отклоняется в сторону, а лопатка патологически возвышена;
- При прощупывании можно ощутить плотный мышечный валик;
- На ягодицах определяются несимметричные складки.
Специфические клинические признаки сколиоза 2 степени:
- Реберные дуги и мышцы поясницы (сколиоз 2 степени поясничного отдела) выступают значительно больше, чем с другом в наклоненном положении;
- На грудном уровне спины определяется вдавление.
Такая симптоматика свидетельствует о торсии (скручивании вокруг своей оси позвонков), что является характерным признаком 2-й остеохондроза. Данное положение позвонков считается опасным из-за возможности смещения внутренних органов, нарушения их функции. В будущем может развиться инвалидность.
Если не предпринимать вынужденные меры и не заниматься медицинской корректировкой позвоночника, то могут развиться такие проявления:
- Болезненность в спине;
- Патологическая усталость;
- Затруднения в акте дыхания;
- Кашель и простуда становятся частыми спутниками;
- Возникновение бронхита;
- Деформация грудной клетки;
- Нарушения внутренних органов. Опущение почки, тяжелая беременность и роды и т.д., чаще всего это характерно, если определяется сколиоз 2 степени поясничного отдела.
Стоит учитывать, что осложнения достаточно неприятные и мало кому хотелось бы приобрести такие неполадки со здоровьем. Но исправление легких степеней сколиоза поддается при использовании достаточно простых методов.
Сколиоз 2 степени характеризуется заметным искривлением позвоночника, которое может проявляться в различных симптомах. Люди часто отмечают асимметрию плеч и бедер, а также появление сутулости. В некоторых случаях возникают боли в спине, особенно после длительного сидения или физической нагрузки. Лечение может включать физиотерапию, специальные упражнения и ношение корсета, что помогает замедлить прогрессирование искривления. Важно также обратить внимание на профилактику: регулярные занятия спортом, правильная осанка и ergonomics на рабочем месте могут существенно снизить риск ухудшения состояния. Раннее выявление и комплексный подход к лечению помогут избежать серьезных последствий.

Диагностика данного заболевания
Чтобы диагностировать это заболевание опорно-двигательной системы в первую очередь врач должен тщательно осмотреть пациента, чтобы понять, как исправить ту или иную проблему. При осмотре пациент должен быть раздет по пояс. Врач внимательно осматривает пациента спереди потом сзади. Далее просит больного медленно нагибаться и внимательно сравнивает обе половины тела человека. При сколиозе второй степени будет четко видно искривление позвоночного столба. Также в зависимость от части позвоночного столба, которая искривлена будут наблюдаться несимметричность расположения костей и суставов. Для подтверждения диагноза сколиоз позвоночника, доктор может назначить дополнительные исследования.
К ним относятся:
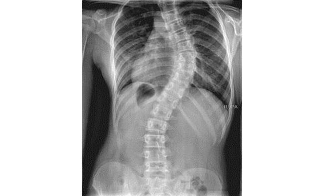
- Рентгенография. Это самое дешевое и достоверное исследование для подтверждения диагноза. С помощью этой методики специалист сможет выявить наличие патологического процесса, стадию, угол искривления с его локализацией. Кроме того, с помощью данного метода можно обнаружить наличие и других патологических процессов костной системы, таких как остеохондроз.
- Сколиометрия. Выполняется с помощью специального устройства сколеометра, который может быть механическим и электронным. С этим прибором доктор сможет измерить градус искривления позвоночника, наличие ротации или смещения позвонков. Также этот метод позволяет определить локализацию мышечного валика, и зарождение реберного горба.
- Спондилография. Исследование, с помощью которого возможно даже на ранней стадии выявить патологический процесс затрагивающий позвонок.
- МРТ. Наиболее дорогой из всех методов, но и самый информативный. При данном исследовании специалист может рассмотреть позвоночник в трехмерной проекции. Данный метод появился сравнительно недавно, но очень хорошо зарекомендовал себя. Потому как при исследовании позвонка, одновременно можно высинить функциональное состояние и других органов организма.
Помимо основных, вышеперечисленных методик врач может назначить и другие исследования в виде УЗД или ЭКГ. Потому как при сколиозе второй степени очень часто поражаются и другие органы, и системы организма.
Как вылечить сколиоз 2 степени?
Так как заболевание имеет достаточно тяжелое течение и значительно мешает нормальной жизнедеятельности человека, то многие задаются вопросом, а можно ли вылечить сколиоз? На первой и второй стадии — это возможно, при том условии, что терапия будет комплексной. Такое лечение направлено на то, чтобы укрепить мышечный корсет, а также на улучшение обменных процессов в организме. Выделяют несколько направлений в лечении сколиоза 2 степени.
- Лечебная гимнастика. Существует определенный комплекс упражнений при сколиозе, который должен определяться только лечащим врачом. Также занятия данными упражнениями должны проводиться регулярно и продолжительно. Упражнения при сколиозе 2 степени подбираются индивидуально для каждого больного человека, в зависимости от тяжести его состояния. Потому как неправильная нагрузка на позвоночник может еще больше усугубить состояние пациента. В первое время можно заниматься в присутствии врача-реабилитолога, в дальнейшем можно проводить такое лечение в домашних условиях. Отличной помощью может стать в таком случае подробные видео упражнения.
- Лечебныймассаж. Должен проводиться только специалистом. Данный массаж направлен на стимуляцию ослабленных мышц, а также на расслабление сильно напряженных. Такой массаж улучшает кровообращение мышц спины и укрепляет ее мышечный каркас. Массаж особенно хорошо помогает и расслабляет мышцы при такой разновидности заболевания как грудопоясничный сколиоз 2 степени.
- Физиотерапевтические мероприятия. Из большого количества таких методик часто используют электрофорез, ультразвук, парафиновые обертывания. Как лечить – выбирает доктор. Такие процедуры направлены на предотвращение болезненности, снятие воспаления и активации метаболизма в организме.
- Медикаментозная терапия. Также очень широко используется при данной патологии, чтобы максимально излечить организм от воспалительных процессов, и избавить от боли. Применяются обезболивающие противовоспалительные препараты типа ибупрофена, напроксена или аспирина. Чаще всего как симптоматическая терапия.
Профилактика возникновения сколиоза второй степени
Всем известно, что любое заболевание лучше предупредить, чем его лечить. Поэтому чтобы не заниматься лечением сколиоза второй степени грудного или любого другого отдела позвоночника, лучше его предупредить, соблюдая некоторые правила:
- Старательно поддерживать правильную осанку еще с детского возраста. Потому как ребенок очень подвержен развитию данного заболевания.
- Правильно распределять нагрузку на обе верхние конечности. То есть не желательно брать тяжесть в одну руку, следует равномерно распределить вес на обе руки. Потому как со временем высока вероятность развития сколиоз грудного отдела позвоночника.
- Занятие спортом. Правильные, дозированные физические нагрузки способствуют гармоничному развитию позвоночника и околопозвоночных мышц.
- Правильное, полноценное питание, а также витаминотерапия.
https://youtube.com/watch?v=cs2TVX4-35k%3Ffeature%3Doembed
Данная статья размещена исключительно в общих познавательных целях посетителей и не является научным материалом, универсальной инструкцией или профессиональным медицинским советом, и не заменяет приём доктора. За диагностикой и лечением обращайтесь только к квалифицированным врачам, в государственных больницах и частных клиниках.
Вопрос-ответ
Чем лечить сколиоз 2 степени?
Комплексное лечение при сколиозе 2 степени В комплекс лечения могут быть включены методы физиотерапии, например электростимуляция мышц спины. Нетрадиционными, но достаточно эффективными методами лечения сколиоза 2-й степени считаются методы мануальной терапии, разнообразные дыхательные гимнастики.
Что лучше всего помогает при сколиозе?
Занятия плаванием помогают укрепить мышечный каркас, улучшить работу дыхательной системы, исправить осанку. Физические нагрузки в воде как никакие другие помогают развитию мышц спины и груди, профилактике и лечению сколиоза. Самый полезный вид плавания – брассом, менее полезны кроль и плавание на спине.
Что нельзя делать при 2 степени сколиоза?
Теннис, боулинг, бадминтон, гольф и другие «односторонние» несимметричные виды спорта. Футбол, хоккей, баскетбол и другие активные виды спорта с неравномерной нагрузкой на спину и резкими изменениями направления движения.
Как понять, что у тебя сколиоз 2 степени?
Кривая сколиоза между 10 ° — 20 °Наиболее часто встречаются у молодых, предменструальных девочек, но также наблюдаются у мальчиков и взрослыхИногда возможна боль в спинеНаклон туловища в сторонуНаклон головыЕщё
Советы
СОВЕТ №1
Регулярно проверяйте осанку. Обратите внимание на свою позу при сидении, стоянии и ходьбе. Используйте зеркала или попросите кого-то помочь вам оценить, как вы выглядите. Правильная осанка может помочь предотвратить ухудшение состояния.
СОВЕТ №2
Занимайтесь физической активностью. Упражнения, направленные на укрепление мышц спины и живота, могут помочь поддерживать правильное положение позвоночника. Рассмотрите возможность занятий плаванием, йогой или пилатесом, которые способствуют гибкости и укреплению мышечного корсета.
СОВЕТ №3
Обратитесь к специалисту. Если вы заметили симптомы сколиоза, такие как асимметрия плеч или бедер, важно проконсультироваться с врачом-ортопедом. Он сможет провести необходимые обследования и предложить индивидуальный план лечения.
СОВЕТ №4
Следите за своим рабочим местом. Убедитесь, что ваш стол и стул соответствуют вашим параметрам. Используйте эргономичную мебель и делайте перерывы для разминки, чтобы избежать напряжения в спине и шее.





